審美治療 歯をキレイにしたい

私たちが目指す審美治療とは表面上の人工的な美しさではなく、健康で機能的、そしてより自然な笑顔を患者さんに提供することによって、患者さんが日々笑顔で過ごしていただけるようお手伝いさせていただくことだと考えています。

審美歯科治療方法1|ダイレクトボンディング

コンポジットレジンを用いた修復治療。

メリット 歯質削除を最小限に抑えることができる治療内容です。
デメリット コンポジットレジンは吸水性があるので多少の色調の変化がある。
適応症例 虫歯・歯の異形・外傷歯・正中離開

審美歯科治療方法2|ラミネートベニア

ポーセレンを用いた修復治療。歯質削除量が少ない。

メリット ポーセレン修復なので透明度が高く、色調の変化に強い。
デメリット 噛み合わせによっては不向きなケースもある。
適応症例 歯の異形・変色した歯・正中離開

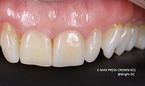
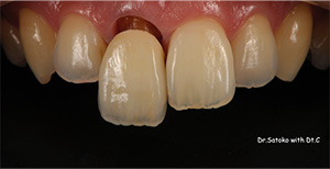
審美歯科治療方法3|セラミック修復治療

セラミックは陶磁器のことです。歯科においてはe-max press(ニケイ酸リチウム)、アルミナ、ジルコニアなどが挙げられます。当院ではe-max pressとジルコニアを使用しております。

e-max press e-max press審美性・強度ともに優れている材料です。透明度が高くより天然歯に近い色調を再現できます。
ジルコニア ジルコニアe-max pressに比べ強度がより優れています。インプラント上部やブリッジなどの修復に適しています。ただし、ジルコニア単体だと色調が自然ではないため当院ではジルコニア表面に透明度の高いセラミックを焼き付けることにより前歯審美治療にも使用しております。

真の美しさを目指すあなたに

銀歯や歯ぐきの黒ずみが気になっている、そのせいで思いっきり笑いたいのに笑えない、そんなお悩みを抱えている方はいらっしゃいませんか? このようなお悩みには、セラミックによる審美歯科治療がおすすめです。

歯の色を白くするホワイトニング
マウスピースで口腔内を守ろう

遺伝や加齢、食事や喫煙などといった要因によって、歯は変色したり着色したりします。そんなときにおすすめなのが、ホワイトニングです。歯を削ることなく特殊な薬剤を使用して歯を白くする方法です。

ホワイトニングには、歯科医院で行う方法と、患者様のご自宅で行っていただく方法の2つがあり、当院では、患者様に通院のご負担をおかけすることなく、ご自宅で手軽に行っていただけるホームホワイトニングを採用しております。

Fahd Khan/Unsplash
審美歯科治療のメリット

  • 見た目が美しくなる
    口元は人の印象を左右する大切な部分です。気になる銀歯や黒ずみを改善し白く輝く美しい歯に整えることで、顔立ちも若々しい印象になり、自然で魅力的な笑顔を取り戻せます。

  • お口の機能が改善される
    歯の役割は噛むことです。審美歯科治療で歯の形や大きさ、歯並びのずれを調整して噛み合わせを改善することにより、機能的な口元が実現します。

  • 虫歯や歯周病になりにくくなる
    乱れた歯並びは食べかすが詰まりやすく、そのため虫歯や歯周病になりやすくなります。審美歯科治療で軽度に乱れた歯並びを整えることにより、ブラッシングがしやすくなり、虫歯や歯周病になりにくくなります。

  • コンプレックスから解消される
    コンプレックスは精神衛生上好ましくありません。審美歯科治療で口元の見た目の美しさと健康を手に入れることで、多くの方がコンプレックスから解放されています。

歯ぐきの黒ずみでお悩みの方、以前に金属を使用した治療を受けていらっしゃいませんか。ひと昔の"セラミック冠"と呼ばれていたものの裏うちは金属です。 以下のような原因で、歯ぐきが黒ずむことがあります。

  • 金属イオンが溶けだし、歯ぐきに沈着する
  • 土台として使われている金属が歯ぐきから透けて見える
  • 金属の土台を削ったときに、細かな切削片が歯ぐきの組織内に取り込まれる
  • 強い咬み合わせによる歯肉退縮
etc..

歯科治療には保険診療と自費診療の2種類があり、使用する素材や治療法に違いがあります。当院では、審美歯科治療において保険・自費問わず、患者様の症状やご要望に応じたご提案をさせていただいております。

下記に保険診療と自費診療の違いをご説明しておりますが、より優れた見た目・機能性を求める場合、自費診療がおすすめです。

  保険診療 自費診療
概要 最低限の機能の回復に限られ、審美性についてはあまり重視されていない 理想的な見た目や噛み心地が手に入る
費用 保険が適用されるため安価 保険が適用されないため高額
代表的な素材 レジン セラミック

Ready to Start?

Curabitur vulputate posuere tortor luctus vulputate laoreet pretium blandit.

Book Appointment